سه كتاب خوب بچه گانه بخر، آنها را بخوان و به یك پسر بچه هدیه كن. - اچ جکسون براون (کتاب نکته‌های کوچک زندگی)
زیست شناسی

مراحل تقسیم میتوز و تقسیم سلولی

تقسیم میتوز یکی از فرآیندهای اساسی در چرخه سلولی است که نقش حیاتی در رشد، توسعه و ترمیم بافت های موجودات زنده ایفا می کند. این فرآیند به سلول ها اجازه می دهد تا با تقسیم دقیق...
مراحل تقسیم میتوز و تقسیم سلولی

تقسیم میتوز یکی از فرآیندهای اساسی در چرخه سلولی است که نقش حیاتی در رشد، توسعه و ترمیم بافت های موجودات زنده ایفا می کند. این فرآیند به سلول ها اجازه می دهد تا با تقسیم دقیق مواد ژنتیکی، دو سلول دختری کاملاً یکسان تولید کنند. درک مراحل مختلف میتوز نه تنها برای دانش آموزان و دانشجویان زیست شناسی اهمیت دارد، بلکه برای درک مکانیسم های پیچیده ای مانند رشد جنین، ترمیم زخم ها و حتی پیشگیری از بیماری هایی مانند سرطان نیز ضروری است. در این مطلب، به بررسی گام به گام مراحل تقسیم میتوز، از مرحله اینترفاز تا سیتوکینز، پرداخته می شود تا تصویر جامعی از این فرآیند حیاتی ارائه شود.

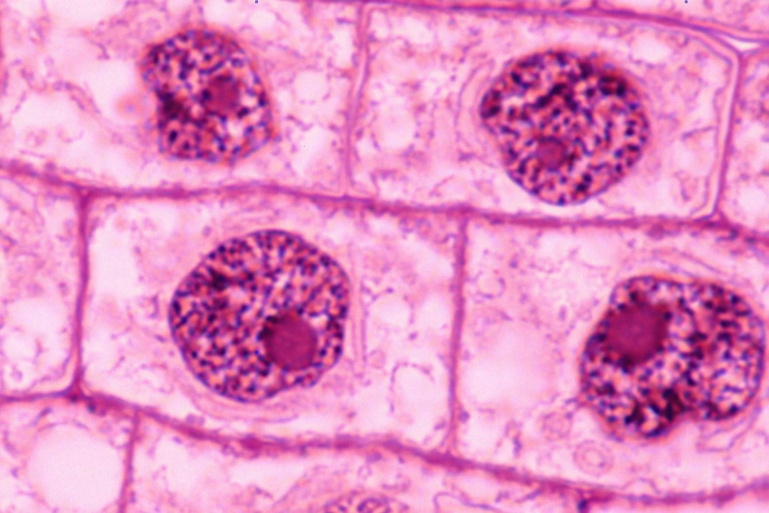
مرحله اینترفاز: رشد سلول و آماده سازی برای تقسیم

مرحله اینترفاز: رشد سلول و آماده سازی برای تقسیم
Ed Reschke/Photolibrary/Getty Images

مرحله اینترفاز اولین و طولانی ترین مرحله در چرخه سلولی است که در آن سلول برای تقسیم میتوز آماده می شود. در این مرحله، سلول به رشد خود ادامه می دهد، مواد مغذی را جذب می کند و DNA خود را تکثیر می کند. اینترفاز به سه زیرمرحله اصلی تقسیم می شود: فاز G1، فاز S و فاز G2. در فاز G1، سلول به سرعت رشد می کند و حجم خود را افزایش می دهد. سپس در فاز S، DNA سلول تکثیر می شود تا مطمئن شود هر سلول دختری یک نسخه کامل از اطلاعات ژنتیکی را دریافت می کند. در نهایت، در فاز G2، سلول به رشد خود ادامه می دهد و پروتئین های لازم برای تقسیم سلولی را تولید می کند. در پایان اینترفاز، سلول کاملاً آماده است تا وارد مرحله بعدی، یعنی پروفاز، شود.

پروفاز: فشرده سازی کروموزوم ها و تشکیل دوک تقسیم

پروفاز: فشرده سازی کروموزوم ها و تشکیل دوک تقسیم
Ed Reschke/Photolibrary/Getty Images

پروفاز اولین مرحله واقعی تقسیم میتوز است که در آن کروموزوم ها به شکل قابل تشخیص تری فشرده می شوند. در این مرحله، کروماتین که به صورت رشته های نازک و پراکنده در هسته قرار دارد، به کروموزوم های مجزا تبدیل می شود. هر کروموزوم از دو کروماتید خواهری تشکیل شده که در ناحیه ای به نام سانترومر به هم متصل هستند. همزمان با این فرآیند، پوشش هسته شروع به تجزیه می کند و دوک تقسیم، که از میکروتوبول ها و پروتئین ها ساخته شده است، در سیتوپلاسم تشکیل می شود. دوک تقسیم از دو قطب سلول گسترش می یابد و به کروموزوم ها متصل می شود تا آن ها را در مراحل بعدی به سمت قطب های سلول هدایت کند. این تغییرات مهم، سلول را برای مرحله بعدی، یعنی متافاز، آماده می کنند.

متافاز: تراز شدن کروموزوم ها در صفحه متافاز

متافاز: تراز شدن کروموزوم ها در صفحه متافاز
Ed Reschke/Photolibrary/Getty Images

در مرحله متافاز، کروموزوم ها به طور کامل فشرده شده و در مرکز سل��ل، در صفحه ای به نام صفحه متافاز، تراز می شوند. این صفحه به طور مساوی از دو قطب سلول فاصله دارد و کروموزوم ها در این موقعیت به دقت سازمان دهی می شوند. در این مرحله، دوک تقسیم به بلوغ کامل رسیده و رشته های قطبی آن به کروموزوم ها متصل می شوند. هر کروموزوم از طریق ناحیه سانترومر خود به رشته های دوک متصل می شود و به این ترتیب، نیروهای مساوی از دو طرف به کروموزوم ها وارد می شوند تا آن ها را در موقعیت مرکزی نگه دارند. این تراز دقیق کروموزوم ها تضمین می کند که در مرحله بعدی، یعنی آنافاز، کروماتیدهای خواهری به طور مساوی بین دو سلول دختری تقسیم شوند.

آنافاز: جدایی کروماتید های خواهری و حرکت به سمت قطب های سلول

آنافاز: جدایی کروماتید های خواهری و حرکت به سمت قطب های سلول
Ed Reschke/Photolibrary/Getty Images

مرحله آنافاز یکی از مهم ترین مراحل تقسیم میتوز است که در آن کروماتید های خواهری از هم جدا شده و به سمت قطب های مخالف سلول حرکت می کنند. این جدایی به دلیل کوتاه شدن رشته های دوک تقسیم که به سانترومر کروموزوم ها متصل هستند، اتفاق می افتد. با جدا شدن کروماتید ها، هر یک به عنوان یک کروموزوم مستقل در نظر گرفته می شود و به سمت قطب های سلول کشیده می شود. همزمان، رشته های دوک که به کروموزوم ها متصل نیستند، طولانی تر می شوند و باعث کشیده شدن سلول می گردند. در پایان آنافاز، هر قطب سلول دارای مجموعه ای کامل از کروموزوم ها است که آماده اند تا در مرحله بعدی، یعنی تلفاز، در هسته های جدید سازمان دهی شوند.

تلفاز: تشکیل هسته های جدید و بازگشت کروموزوم ها به حالت کروماتین

تلفاز: تشکیل هسته های جدید و بازگشت کروموزوم ها به حالت کروماتین
Ed Reschke/Photolibrary/Getty Images

در مرحله تلفاز، کروموزوم هایی که به قطب های سلول رسیده اند، شروع به بازگشت به حالت کروماتین می کنند و هسته های جدید در اطراف آن ها تشکیل می شوند. در این مرحله، پوشش هسته ای که در مراحل قبلی تجزیه شده بود، دوباره از قطعات باقی مانده پوشش هسته ای سلول مادر و سیستم غشای درونی سلول ساخته می شود. همزمان، رشته های دوک تقسیم نیز از بین می روند و هستک ها (نوکلئول ها) دوباره در هسته های جدید ظاهر می شوند. کروموزوم ها که اکنون به حالت کروماتین بازگشته اند، درون هسته های جدید سازمان دهی می شوند. این تغییرات نشان دهنده پایان فرآیند تقسیم هسته ای است و سلول آماده می شود تا وارد مرحله نهایی تقسیم، یعنی سیتوکینز، شود.

سیتوکینز: تقسیم سیتوپلاسم و تشکیل دو سلول دختری

سیتوکینز: تقسیم سیتوپلاسم و تشکیل دو سلول دختری
MAURIZIO DE ANGELIS/Science Photo Library/Getty Images

سیتوکینز آخرین مرحله از فرآیند تقسیم سلولی است که در آن سیتوپلاسم سلول به دو بخش تقسیم می شود و دو سلول دختری کاملاً مستقل تشکیل می شوند. این فرآیند معمولاً همزمان با پایان مرحله تلفاز آغاز می شود و با تشکیل یک فرورفتگی در غشای سلولی، که به تدریج عمیق تر می شود، تکمیل می گردد. در سلول های جانوری، این فرورفتگی توسط حلقه ای از پروتئین های اکتین و میوزین ایجاد می شود که سلول را به دو نیمه تقسیم می کند. در سلول های گیاهی، به دلیل وجود دیواره سلولی سخت، یک صفحه سلولی جدید در وسط سلول تشکیل می شود که به تدریج گسترش یافته و سلول را به دو بخش تقسیم می کند. در پایان سیتوکینز، دو سلول دختری با مواد ژنتیکی یکسان و سیتوپلاسم مستقل به وجود می آیند که آماده اند چرخه سلولی خود را آغاز کنند.

تفاوت های میتوز و میوز: مقایسه دو فرآیند تقسیم سلولی

میتوز و میوز دو فرآیند اصلی تقسیم سلولی هستند که هر کدام نقش متفاوتی در بدن موجودات زنده ایفا می کنند. میتوز باعث تولید دو سلول دختری می شود که از نظر ژنتیکی کاملاً یکسان با سلول مادر هستند و در رشد، ترمیم بافت ها و تولید مثل غیرجنسی نقش دارند. در مقابل، میوز فرآیندی است که در آن چهار سلول دختری با نصف تعداد کروموزوم های سلول مادر تولید می شوند. این سلول ها که هاپلوئید نامیده می شوند، در تولید مثل جنسی و تشکیل گامت ها (سلول های جنسی) نقش دارند. یکی از تفاوت های کلیدی این دو فرآیند در تعداد تقسیمات سلولی است: میتوز شامل یک تقسیم سلولی است، در حالی که میوز شامل دو تقسیم متوالی است. همچنین، در میوز، تبادل ژنتیکی بین کروموزوم های هم تا (کراسینگ اور) اتفاق می افتد که باعث ایجاد تنوع ژنتیکی در فرزندان می شود، در حالی که در میتوز چنین تبادلی رخ نمی دهد.


این مقاله در سایت علمی رایشمند منتشر شده است. خوشحال می‌شویم اگر دیدگاه و نظر خود را درباره این موضوع با ما و دیگر خوانندگان در میان بگذارید.

شما در پاسخ به

نظر شما اضافه شد، اما ابتدا باید تایید شود.

نظر خود را برای ما بنویسید
لطفا نام خود را وارد کنید
لطفا آدرس ایمیل خود را وارد کنید لطفا آدرس ایمیل معتبر وارد کنید
لطفا یک نظری بنویسید
ثبت و ارسال