بافت های پیوندی، همان طور که از نامشان پیداست، وظیفه اتصال دارند: این بافت ها دیگر بافت ها را در بدن حمایت و به هم متصل می کنند. برخلاف بافت های اپیتلیال که سلول های آن ها به طور نزدیک کنار هم قرار دارند، بافت های پیوندی معمولاً دارای سلول هایی هستند که در یک ماتریس خارج سلولی از پروتئین های فیبری و گلیکومیثیل ها پراکنده شده اند. عناصر اصلی بافت های پیوندی شامل یک ماده پایه، الیاف و سلول ها هستند.
بافت های پیوندی به سه گروه اصلی تقسیم می شوند.
- بافت پیوندی آزاد، اعضا را در جای خود نگه می دارد و بافت اپیتلیال را به سایر بافت های زیرین متصل می کند.
- بافت پیوندی متراکم، به اتصال عضلات به استخوان ها و پیوند استخوان ها در مفاصل کمک می کند.
- بافت پیوندی تخصصی شامل بافت های مختلف با سلول های تخصصی و ماده پایه منحصر به فرد است. برخی از این بافت ها محکم و قوی و برخی دیگر مایع و انعطاف پذیر هستند. مثال هایی از این بافت ها شامل بافت چربی، غضروف، استخوان، خون و لنف می باشند.
ماده پایه به عنوان یک ماتریس مایع عمل می کند که سلول ها و الیاف را در داخل نوع خاصی از بافت های پیوندی معلق نگه می دارد. الیاف بافت پیوندی و ماتریس توسط سلول های تخصصی به نام فیبروبلاست ها سنتز می شوند. سه گروه اصلی بافت های پیوندی شامل بافت پیوندی آزاد، بافت پیوندی متراکم و بافت پیوندی تخصصی هستند.
بافت پیوندی آزاد

این تصویر از بافت پیوندی آزاد، الیاف کلاژنی (قرمز)، الیاف الاستیک (مشکی)، ماتریس و فیبروبلاست ها (سلول هایی که الیاف را تولید می کنند) را نمایش می دهد.
در مهره داران، بافت پیوندی آزاد شایع ترین نوع بافت پیوندی است. این بافت اعضا را در جای خود نگه می دارد و بافت اپیتلیال را به سایر بافت های زیری متصل می کند. بافت پیوندی آزاد به دلیل "بافت" و نوع الیاف تشکیل دهنده اش این نام را به خود گرفته است. این الیاف یک شبکه نامنظم با فضاهای بین الیاف تشکیل می دهند. این فضاها با ماده پایه پر شده اند. سه نوع اصلی از الیاف پیوندی آزاد شامل الیاف کلاژنی، الیاف الاستیک و الیاف رتیکولار هستند.
- الیاف کلاژنی از کلاژن تشکیل شده و شامل دسته هایی از فیبریل ها هستند که شیرازه های مولکول های کلاژن می باشند. این الیاف به تقویت بافت پیوندی کمک می کنند.
- الیاف الاستیک از پروتئین الاستین تشکیل شده و قابلیت کشش دارند. این الیاف به بافت پیوندی الاستیسیته می دهند.
- الیاف رتیکولار بافت های پیوندی را به سایر بافت ها متصل می کنند.
بافت های پیوندی آزاد حمایت، انعطاف پذیری و قوای لازم برای حمایت از اعضای داخلی و ساختارهایی مانند رگ های خونی، رگ های لنفاوی و اعصاب را فراهم می کنند.
بافت پیوندی متراکم

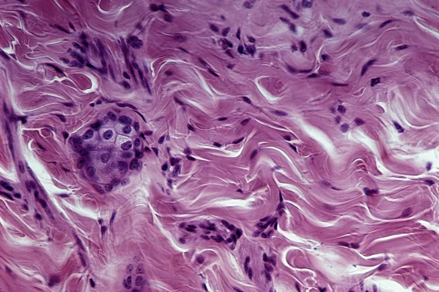
این تصویر از درم پوست، بافت پیوندی فیبری متراکم را نشان می دهد. الیاف کلاژنی نامنظم (صورتی) و هسته های فیبروبلاست ها (بنفش) قابل مشاهده است.
بافت پیوندی متراکم یا فیبری، نوع دیگری از بافت پیوندی است. این بافت را می توان در تاندون ها و رباط ها یافت—این ساختارها به اتصال عضلات به استخوان ها و پیوند استخوان ها در مفاصل کمک می کنند. بافت پیوندی متراکم از مقادیر بالایی از الیاف کلاژنی نزدیک به هم تشکیل شده است. در مقایسه با بافت پیوندی آزاد، بافت متراکم دارای نسبت بالاتری از الیاف کلاژنی به ماده پایه است. این بافت ضخیم تر و قوی تر از بافت پیوندی آزاد است و یک لایه حفاظتی دور اعضایی مانند کبد و کلیه ها تشکیل می دهد.
بافت پیوندی متراکم می تواند به بافت پیوندی متراکم منظم، بافت پیوندی متراکم نامنظم و بافت پیوندی الاستیک تقسیم شود.
- بافت پیوندی متراکم منظم: تاندون ها و رباط ها نمونه هایی از بافت پیوندی متراکم منظم هستند.
- بافت پیوندی متراکم نامنظم: بخش زیادی از لایه درم پوست از بافت پیوندی متراکم نامنظم تشکیل شده است. کپسول غشایی که چندین عضو را احاطه کرده، نیز بافت متراکم نامنظم است.
- بافت الاستیک: این بافت ها اجازه می دهند تا ساختارهایی مانند شریان ها، تارهای صوتی، نای و لوله های برونش در ریه ها کشیده شوند.
بافت های پیوندی تخصصی

این تصویر نمونه ای از بافت چربی را نشان می دهد که حاوی سلول های چربی (آدیپوسیت ها، آبی) است که توسط رشته های نازک بافت پیوندی حمایتی احاطه شده است. بافت چربی یک لایه عایق زیر پوست تشکیل می دهد و انرژی را به صورت چربی ذخیره می کند.
بافت های پیوندی تخصصی شامل بسیاری از بافت های مختلف با سلول های تخصصی و ماده پایه منحصر به فرد هستند. برخی از این بافت ها محکم و قوی و برخی دیگر مایع و انعطاف پذیر هستند. مثال هایی از این بافت ها شامل بافت چربی، غضروف، استخوان، خون و لنف می باشند.
بافت چربی
بافت چربی نوعی بافت پیوندی آزاد است که چربی را ذخیره می کند. این بافت اعضا و حفره های بدنی را پوشش می دهد تا از اعضا محافظت کرده و بدن را در برابر از دست رفتن حرارت عایق بندی کند. بافت چربی همچنین هورمون های اندوکرین تولید می کند که بر فعالیت هایی مانند لخته شدن خون، حساسیت به انسولین و ذخیره سازی چربی تأثیر می گذارد.
آدیپوسیت ها سلول های اصلی بافت چربی هستند. این سلول ها چربی را به شکل تری گلیسیرید ذخیره می کنند. آدیپوسیت ها زمانی که چربی ذخیره می شود، به شکل گرد و متورم دیده می شوند و هنگام استفاده از چربی، کوچک می شوند. بیشتر بافت چربی به عنوان بافت چربی سفید توصیف می شود که در ذخیره سازی انرژی عمل می کند. بافت چربی قهوه ای و بژ نیز چربی را می سوزاند و حرارت تولید می کند.
غضروف

این تصویر میکروگرافی از غضروف شفاف، یک بافت پیوندی نیمه سخت از نای انسان است.
غضروف نوعی بافت پیوندی فیبری است که از الیاف کلاژن متراکم در ماده ای نرم و ژلاتینی به نام کوندریتی تشکیل شده است. اسکلت کوسه ها و جنین های انسانی از غضروف تشکیل شده اند. غضروف همچنین حمایت منعطفی برای برخی ساختارها در انسان های بالغ از جمله بینی، نای و گوش ها فراهم می کند.
سه نوع مختلف از غضروف وجود دارد که هر یک دارای ویژگی های متفاوتی هستند.
- غضروف شفاف شایع ترین نوع است و در مناطقی مانند نای، دنده ها و بینی یافت می شود. این غضروف انعطاف پذیر، الاستیک و احاطه شده با یک غشای متراکم به نام پری کندریوم است.
- غضروف فیبرو قوی ترین نوع غضروف است و از الیاف کلاژن شفاف و متراکم تشکیل شده است. این غضروف غیر منعطف، محکم و در مناطقی مانند بین مهره ها، در برخی مفاصل و در دریچه های قلب قرار دارد. غضروف فیبرو فاقد پری کندریوم است.
- غضروف الاستیک شامل الیاف الاستیک است و منعطف ترین نوع غضروف به حساب می آید. این نوع در مکان هایی مانند گوش و حلق (جعبه صوتی) یافت می شود.
بافت استخوان

این تصویر میکروگرافی از استخوان اسفنجی (زبر) از یک مهره است. استخوان اسفنجی با آرایش لانه زنبوری مشخص می شود و شامل شبکه ای از ترابکولاها (بافت های میله ای شکل) است. این ساختارها به استخوان حمایت و استحکام می دهند.
استخوان نوعی بافت پیوندی معدنی است که شامل کلاژن و کلسیم فسفات، که یک بلور معدنی است، می باشد. کلسیم فسفات به استخوان استحکام می بخشد. دو نوع بافت استخوانی وجود دارد: استخوان اسفنجی و استخوان متراکم.
- استخوان اسفنجی که به آن استخوان زبر نیز گفته می شود، به دلیل ظاهر اسفنجی اش نام گذاری شده است. فضاهای بزرگ یا حفرات عروقی در این نوع بافت استخوانی شامل رگ های خونی و مغز استخوان است. استخوان اسفنجی اولین نوع استخوانی است که در حین تشکیل استخوان ایجاد می شود و توسط استخوان متراکم احاطه شده است.
- استخوان متراکم که به آن استخوان کورتیکال نیز گفته می شود، قوی و متراکم است و سطح سخت خارجی استخوان را تشکیل می دهد. کانال های کوچکی درون بافت به عبور رگ های خونی و اعصاب اجازه می دهند. ��لول های استخوانی بالغ یا استئوسیت ها در استخوان متراکم یافت می شوند.
خون و لنف
گلبول های قرمز (اریتروسیت ها)" width="1500" height="1000" loading="lazy" />
این یک میکروگراف از گروهی از گلبول های قرمز (اریتروسیت ها) است که از طریق یک آرتریول (شاخه کوچک یک شریان) در حال حرکت هستند.
جالب است که خون به عنوان نوعی از بافت پیوندی در نظر گرفته می شود. مانند سایر انواع بافت پیوندی، خون از مزودرم، لایه جنینی میانی جنین های در حال توسعه، به وجود می آید. خون همچنین به اتصال سایر سیستم های اندامی از طریق تأمین مواد مغذی و حمل سیگنال های مولکولی بین سلول ها کمک می کند. پلاسما ماتریس خارج سلولی خون است که گلبول های قرمز، گلبول های سفید و پلاکت ها در آن معلق هستند.
لنف نوع دیگری از بافت پیوندی مایع است. این مایع شفاف از پلاسما خون منشأ می گیرد که از رگ های خونی در بسترهای مویرگی خارج می شود. لنف که بخشی از سیستم لنفاوی است، حاوی سلول های سیستم ایمنی است که از بدن در برابر پاتوژن ها محافظت می کند. لنف از طریق رگ های لنفاوی به گردش خون باز می گردد.
انواع بافت های حیوانی
علاوه بر بافت پیوندی، انواع دیگر بافت های بدنی شامل:
- بافت اپیتلیال: این نوع بافت سطح بدن را پوشش داده و حفره های بدن را خط کشی می کند و محافظت ارائه می دهد و امکان جذب و ترشح مواد را فراهم می آورد.
- بافت عضلانی: سلول های قابل تحریک که قادر به انقباض هستند به بافت عضلانی اجازه می دهند تا حرکت بدن را تولید کند.
- بافت عصبی: این بافت اصلی سیستم عصبی امکان ارتباط بین اعضا و بافت های مختلف را فراهم می آورد. این بافت از نورون ها و سلول های گلیال تشکیل شده است.
این مقاله در سایت علمی
رایشمند منتشر شده است. خوشحال میشویم اگر
دیدگاه و نظر خود را درباره این موضوع با ما و دیگر خوانندگان در میان بگذارید.